Loading...
Loading...
Smile designing combines art and science to create your perfect smile. From a single tooth fix to a complete makeover, we use the latest materials and a conservative approach.
A smile makeover is a treatment plan tailored to improve the appearance of your smile. Dr. Suresh Isawe analyses your facial structure, gum line, and tooth proportions to design a smile that looks natural. We focus on preserving as much of your natural tooth as possible.
We discuss your goals, examine your smile, take photos and assess tooth shade.
See your new smile digitally before we begin any treatment.
Choose from veneers, whitening, bonding, or gummy smile correction depending on your needs.
Veneers typically require 3 visits. Whitening is done in a single 45-minute session. Composite bonding is same-day.
See your new smile. Adjustments made if needed. At-home whitening trays provided for top-ups.
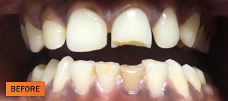
Composite restoration case 1
← Swipe to compare →
Composite restoration case 2
← Swipe to compare →
Composite restoration case 3
← Swipe to compare →
Typical Duration
1–4 visits