Loading...
Loading...
Laser dentistry offers precise, minimally invasive treatments with faster healing, less pain, and no stitches in most cases.
LASER stands for Light Amplification by Stimulated Emission of Radiation. At Gurukrupa Dental we use both Surgical Lasers (High Intensity Laser Treatment - HLLT) for precision tissue procedures, and Non-Surgical Lasers (Low Reactive-level Laser Treatment - LLLT) that activate cells to accelerate healing with anti-inflammatory and analgesic effects.
We assess whether laser treatment is right for your condition.
Minimal preparation needed - often no anaesthesia required.
The laser precisely targets the treatment area. Surgical lasers remove or reshape tissue; non-surgical lasers biostimulate healing.
Faster healing than conventional surgery - most patients resume normal activities immediately.
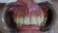
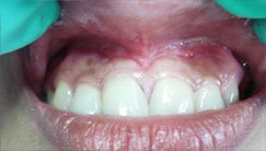
Frenectomy - labial frenum removal
← Swipe to compare →
Gum depigmentation - melanin removal
← Swipe to compare →
Typical Duration
30–60 min