Loading...
Loading...
Dental implants are the gold standard for replacing missing teeth. We partner with the world's leading implant systems including Nobel Biocare, Straumann, and Osstem.
A dental implant is a titanium post surgically placed in the jawbone to act as an artificial tooth root. It is made from biocompatible titanium that fuses with the bone (osseointegration), providing a permanent, stable foundation for a crown, bridge, or denture. Anyone with one or more missing teeth can receive implants provided they have adequate bone density and healthy gum tissue.
Nobel Biocare
Sweden - 60+ years of research, world's leading implant brand
Straumann
Switzerland - premium implant systems for complex cases
Osstem
Ranked #1 in Asia-Pacific
Adin Dental Implant Systems
Trusted for reliability and affordability
OPG digital X-ray and medical examination to evaluate bone density and determine suitability.
The titanium implant post is surgically placed in the jawbone under local anaesthesia.
Over 3–6 months, the implant fuses with the jawbone. Selected cases use a single-step procedure with immediate prosthesis placement.
A connector (abutment) and custom crown, bridge, or denture are attached - completing your new tooth.
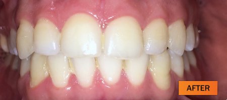
Dental implant case 1
← Swipe to compare →
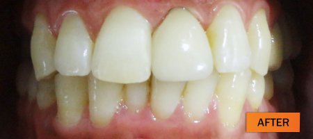
Dental implant case 2
← Swipe to compare →
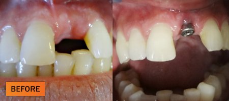
Dental implant case 3
← Swipe to compare →
Typical Duration
3–6 months